Don’t Overlook the Possibility of a Diaphragmatic Hernia
Trauma is tricky. Some problems are readily evident after an injury — bleeding, broken bones, etc. Others hide, lulling owners and veterinarians into a false sense of security. And some conditions, like diaphragmatic hernias, can fall into either category.
The diaphragm is essentially a sheet of muscle that contracts and relaxes to push air in and out of the lungs and separates the chest and abdominal cavities. The word “hernia” is defined as “an abnormal protrusion of tissues or organs through an opening in a structure.” Diaphragmatic hernias commonly occur in animals that have suffered a trauma, such as being hit by a car or a fall from a significant height. In rare instances, an animal can be born with an abnormal hole in its diaphragm. In either case, the tear or defect allows abdominal contents to move into the chest.
There is not a lot of extra room in the chest, and when abdominal contents push their way in, they put pressure on the lungs and make breathing difficult. Typical symptoms of a diaphragmatic hernia include:
- Shortness of breath
- Lethargy and weakness
- Intolerance to physical activity
- Coughing
- Increased respiratory rate and effort (heavy, quick, and shallow breathing)
Depending on which abdominal organs have been trapped in the chest cavity, additional signs might include:
- Vomiting
- Diarrhea
- Difficulty defecating
- Abdominal pain and/or distension
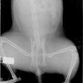
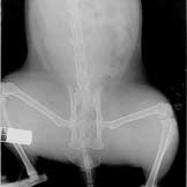
A veterinarian might suspect that a pet has a diaphragmatic hernia based on its history, clinical signs, hearing muffled lung and heart sounds through a stethoscope, and feeling a somewhat “empty” abdomen on palpation; but if the hernia is mild, the patient may appear to be normal. X-rays and sometimes an ultrasound are necessary to make a definitive diagnosis.
Serious hernias require surgical repair, and this is often no easy task. Many general practitioners will rightfully refer these cases to surgical specialists after the patient’s condition has stabilized. If the cost of surgery is prohibitive and the pet is minimally affected by the hernia, taking a wait and see approach is sometimes a viable option. Cats, in particular, are remarkably adaptable. In fact, I’ve diagnosed diaphragmatic hernias in cats years after the likely causative trauma occurred. I’m usually taking X-rays for a completely unrelated problem when I discover it.
Because diaphragmatic hernias can be so unobtrusive (and for other reasons as well), I always recommend chest X-rays when a pet comes in because of trauma, even if the patient looks perfectly normal. It’s always better to know that the hernia is there, even if you aren’t going to surgically repair it, than to be blindsided by problems down the road.
Dr. Jennifer Coates
Image: AP17 / via Shutterstock
