Hip Dysplasia in Dogs
Eudyptula/iStock / Getty Images Plus via Getty Images
Pet parents of large-breed dogs may be familiar with the words “hip dysplasia,” but it can happen to dogs of any size.
But what exactly is hip dysplasia, and why is it such a concern for pet parents? Here’s everything you need to know about hip dysplasia in dogs—from signs and symptoms to treatments and care.
What Is Hip Dysplasia in Dogs and Puppies?
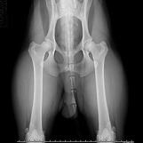
Hip dysplasia is a condition that occurs during the growth stage in dogs. It results in hip joints that don't fit together well and are looser than normal.
In its early stages, hip dysplasia may or may not be painful. But as the condition progresses, the cartilage of the hip begins to wear down. This leads to painful arthritis, bone spurs and other joint changes, muscle atrophy, and limited mobility.
Hip dysplasia most commonly affects stocky, large-breed dogs, and research shows that it's caused by a combination of hereditary and environmental factors.

Click here to download this medical illustration.
What Are the Signs of Hip Dysplasia in Dogs and Puppies?
Although hip dysplasia in dogs may sometimes go undetected, common signs include:
-
Chronic or occasional lameness
-
Limping with no previous trauma or injury
-
“Bunny hopping,” particularly when climbing stairs
-
Having trouble standing up
-
Abnormal sitting positions
-
Having trouble getting on and off furniture, going upstairs, or jumping into cars
Dogs can be very stoic and may not show all of these clinical signs. However, this condition is painful as it progresses, regardless of whether your dog has symptoms.
Which Breeds Are Prone to Canine Hip Dysplasia?
German Shepherds, Golden Retrievers, and Labrador Retrievers are commonly affected breeds, but any large and giant-breed dogs are at higher than average risk for canine hip dysplasia.
Other breeds for which hip dysplasia is a special concern include:
If you have a large or giant-breed dog, talk to your veterinarian about the best way to screen for hip dysplasia.
How Do You Treat Dog Hip Dysplasia?
Early diagnosis of the disease can decrease or even prevent long-term arthritis caused by hip dysplasia in dogs. There are several options for treating canine hip dysplasia, including a few surgical options as well as managing the condition through medications and lifestyle changes.
Your vet will consider many factors before recommending the proper treatment for your dog. Your pet should have a complete orthopedic evaluation before determining if surgery or medical management is right for you.
Medical Management
Medical management consists of following a multimodal approach (using several types of treatment at the same time) to pain management while also promoting overall joint and muscle health.
Depending on your dog’s pain level, prescription pain medications (such as nonsteroidal anti-inflammatory drugs like Galliprant) are commonly used to decrease inflammation and pain from secondary osteoarthritis caused by hip dysplasia.
Galliprant is an easy-to-give daily medication that can be used at the earliest signs of osteoarthritis.
Rimadyl (generic: Carprofen) is another nonsteroidal anti-inflammatory drug that can be used to treat inflammation and pain.
Oral joint supplements commonly include ingredients like omega-3 fatty acids, glucosamine, methylsulfonylmethane, and chondroitin.
Injectable therapies such as polysulfated glycosaminoglycan injections can also help with joint health.
You can also speak with your primary care veterinarian about a veterinary diet for joint health that can replace or be used with daily joint health supplements.
Weight loss, physical therapy, acupuncture, stem cell therapies, and other types of treatment may also be part of the treatment plan.
Surgical Options
In many cases, surgery for hip dysplasia in dogs has a good prognosis and can improve your pup's mobility and comfort level.
Before a puppy is 18 weeks old, dogs can have a procedure called juvenile pubic symphysiodesis, which involves using heat to prematurely close a growth plate in the dog's pelvis.
Dogs younger than 10 months old can have a procedure called a triple pelvic osteotomy, which realigns the dog's hip joint. Both of these surgeries improve a pup's hip conformation as they continue to grow.
For adult dogs that are skeletally mature and have increased joint pain and limited mobility, the most common procedures are total hip replacements and femoral head ostectomies.
-
A total hip replacement is just what it sounds like—the dog's hip joint is removed and replaced with an artificial hip.
-
A femoral head ostectomy, on the other hand, involves removing part of the hip joint but not replacing it, which is usually only an option for dogs weighing less than 45 pounds or so.
Talk to your primary care veterinarian or a board-certified veterinary surgeon to determine the best options for your pet.
What's the Cost of Surgery for Dogs With Hip Dysplasia?
Surgery can reduce or eliminate pain that sometimes even lifelong medical management cannot. It may decrease the risk and cost of lifelong medications—and sometimes, in the long run, it can end up being the more affordable option.
The cost of surgery varies tremendously and is based on many factors, such as:
-
Procedure type
-
Location
-
Your dog’s age, size, breed, and pre-existing conditions
-
Type of clinical setting (academic, private practice, referral clinic, non-profit, or government agency)
To give an example of how much variation there is in cost, some insurance claims for total hip replacements can range from $1,500–$7,000.
But if you compare this to the cost of medical management, which includes pain medications and joint supplements, surgery can end up being much less expensive over time.
For example, for a dog that lives 10 years that shows signs of hip dysplasia at age 2, you might spend $4,800–$19,200 over their lifetime for medications to manage the condition:
-
$50–$200: Cost of medications per month
-
$50 x 12 = $600 per year / $600 x 8 years = $4,800
-
$200 x 12 = $2,400 per year / $2,400 x 8 years = $19,200
This cost also does not include any prescription joint health diets or other treatments that might be recommended.
Complementary Treatment
These treatments can be used alongside medical management or surgery.
-
Physical therapy: Physical therapy and low- to moderate-impact daily exercise encourage joint health and mobility, muscle health, and weight loss.
-
Acupuncture: Acupuncture for dogs has been shown to increase muscle strength and joint mobility and decrease pain.
-
Stem cell therapies: Stem cells, which are usually collected from a dog's own tissues, may help joints heal.
Weight Management
Regardless of surgical or medical management, any dog experiencing joint pain should be kept at an ideal weight. Keeping your dog at an ideal body condition will ensure that your dog does not suffer from excess inflammation and weight on their joints.
Speak to your primary care veterinarian about a weight-management plan. A healthy weight prevents the joint pain caused by increased weight and the excess inflammation produced by body fat.
How Long Can a Dog Live With Hip Dysplasia?
With proper surgical and medical management, a dog with hip dysplasia can often live a normal, healthy life.
A dog with hip dysplasia should see their veterinarian every six months for a physical examination to monitor their condition and adjust their treatment plan as needed.
How to Prevent Hip Dysplasia in Dogs
You can help manage your dog's risk of developing hip dysplasia and arthritis in several ways:
-
Only purchase puppies at risk of hip dysplasia from breeders who screen their dogs for the condition.
-
Feed large-breed puppies a large-breed puppy food until they are at least 12–18 months old.
-
Talk to your veterinarian about the best time to start joint supplements for high-risk dogs. This promotes joint health and protect the cartilage of the joints.
-
Work with your vet to make sure you keep your dog at a healthy weight.
